Esthetische benadering van een klasse II-restauratie (casusverslag) - Dr. Mia Vukelić


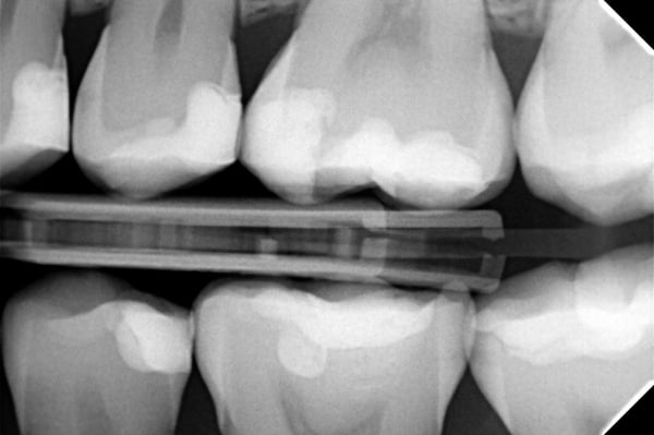
De patiënt bezocht de kliniek voor een jaarlijkse controle. Uit het klinisch en röntgenonderzoek bleek een secundaire cariëslaesie op het occlusale vlak van gebitselement 26 en twee cariëslaesies op de distale vlakken van gebitselement 24 en 25. De patiënt meldde geen specifieke symptomen. De voorgeschreven behandeling bestaat uit het aanbrengen van een klasse I-restauratie op gebitselement 26 en klasse II-restauraties op gebitselement 24 en 25.
![]() |
![]() |
Na goede isolatie met een rubberdam en het plaatsen van wiggen werd de caviteit geprepareerd met een cilindrische boor. Na het verwijderen van de restauratie werd gedemineraliseerd dentine weggehaald met behulp van een stalen boor. Tot slot werden de convergente wanden omgevormd in divergente wanden en werd het inwendige oppervlak van de caviteit gepolijst met diamantpolijstboren.

![]() |
![]() |
De hechtprocedure bestond uit een voorbehandeling van het glazuur met 35% fosforzuurgel (Ultra-Etch™-etsmiddel, Ultradent Products) volgens de selectieve etstechniek gedurende 15 seconden.

Na 30 seconden spoelen met water werd een tweecomponenten-adhesiefsysteem (Clearfil™ SE Bond, Kuraray*) toegepast. Eerst werd de primer aangebracht, gevolgd door het hechtmiddel en uitharding daarvan met een snoerloze VALO™-polymerisatielamp (Ultradent Products).
![]() |
![]() |
Voor het herstel van de approximale wand werden Halo™-matrixbanden en een Halo™-ring van Ultradent Products gebruikt.
Na het herstellen van de approximale wand werd de restauratie verder laagsgewijs, van buiten naar binnen opgebouwd. De eerste stap bestond uit het aanbrengen van een laag flowable composiet met een dikte van 0,5 mm (Tetric EvoFlow™, Ivoclar*).
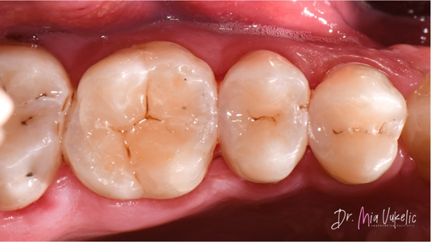
Het materiaal dat voor de restauratie werd gebruikt, was Transcend™-composiet (Ultradent Products). De approximale wand werd vervaardigd met de kleurtint EW en de twee daaropvolgende horizontale lagen met de kleurtint A3D. Individuele karakterisering werd verkregen door inkleuring met Kolor + Plus™ kleurmodificator - bruin (Kerr*).
![]() |
![]() |
Na het polijsten kreeg de vulling een verzegeling (PermaSeal™-composietsealer, Ultradent Products). Tot slot werd de occlusie gecontroleerd en werden röntgenopnamen gemaakt.
Zoals te zien is op de foto’s van het eindresultaat, zorgt Transcend-composiet voor een zeer esthetische restauratie. Het sectionele matrixsysteem Halo leverde een uitstekende approximale anatomie, wat bleek uit de röntgenopname.
![]() |
![]() |

*Handelsmerk van een andere fabrikant dan Ultradent Products.










