Case Report van Dr. Rafael Beolchi
Ik heb al heel veel jaren praktijkervaring en toch zijn er nog steeds van die momenten waarop je voelt hoe moderne technologie ons dagelijks werk als tandarts kan veranderen en een echt ‘wow-effect’ kan creëren – niet alleen voor ons, maar ook voor onze patiënten. Zo’n moment deed zich voor tijdens de behandeling van een 18-jarige patiënt die net een orthodontische behandeling achter de rug had (afb. 1). Ik werk al enkele jaren nauw samen met de behandelend orthodontist en in dit geval nam hij contact met mij op voor een zo goed mogelijk esthetisch resultaat voor zijn jonge patiënt.

Afb. 1. Beginsituatie en tijdens de orthodontische behandeling.
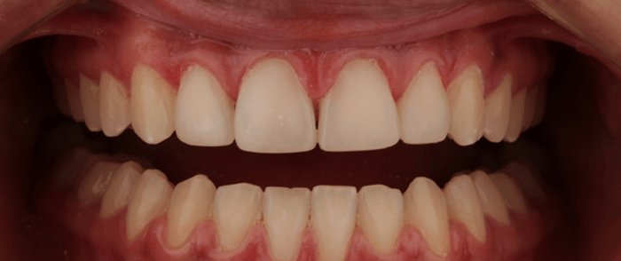
Na afronding van de orthodontische behandeling was sprake van een evenwichtige occlusie en gebitsuitlijning. De aanzienlijke approximale ruimtes in het front en de onregelmatigheden in de gingivarand hadden echter invloed op het algehele uiterlijk (afb. 2).

Afb. 2. Beginsituatie.
Na inspectie en evaluatie van deze casus besloot ik te beginnen met correctie van de gingiva. De patiënt had een gezond en sterk gingivafenotype. Opvallend was echter dat de papilla in sommige gebieden te dik was. Daarnaast moest ook de gingivarand ter hoogte van de laterale bovenincisief links worden aangepast voor een betere symmetrie (afb. 3). Een planningsmethode met behulp van 3D-scans en modelprinten, plus traditionele wax-ups en mock-ups, leverde nauwkeurige details op. Zo was gemakkelijker te zien hoe belangrijk het was om de gingiva aan te passen voor een harmonieuze esthetiek (afb. 4).

Afb. 3. Onregelmatige gingivarand met dikke papillen.

Afb. 4. Mock-up.
Voor de eigenlijke chirurgische ingreep gaf ik de voorkeur aan moderne lasertechnologie, in tegenstelling tot de traditionele chirurgische aanpak met een scalpel. Als voorstander van minimaal invasieve behandeling koos ik voor gingivoplastiek en gingivectomie met een diodelaser voor weke delen, onder andere vanwege het gebruiksgemak van deze technologie. Met de Gemini EVO™ 810 + 980 kon ik de gingiva snel en nauwkeurig vormen. Maar wat vooral heel fijn is, is de eenvoudige bediening en het gemak en de snelheid waarmee je de procedures kunt uitvoeren.
De Gemini-laser is heel mild en veilig voor weke delen. Dankzij het gecontroleerde supergepulseerde piekvermogen wordt de thermische relaxatieperiode gemaximaliseerd, waardoor ongewenste bijkomende weefselschade door verkoling bij te hoge temperaturen wordt voorkomen. Deze parameters worden automatisch ingesteld door het apparaat, wat het veiliger en gebruiksvriendelijker maakt.
Een ander voordeel van diodelaserchirurgie van de weke delen is dat je onmiddellijke hemostase bereikt en het weefsel gecauteriseerd is (wat de postoperatieve pijn aanzienlijk vermindert). Daarnaast wordt het operatiegebied ook meteen gesteriliseerd door de gemiddelde temperatuur van de chirurgische tip. Ten slotte zijn de metabolische voordelen van diodelasers bekend: ze stimuleren een betere en snellere genezing van het operatiegebied door verhoging van de ATP-productie. Belangrijke voordelen dus, vooral in vergelijking met conventionele chirurgische of elektrochirurgische procedures. Over het algemeen zorgt de diodelaser voor een veel efficiëntere workflow (afb. 5).

Afb. 5. Onmiddellijk na de gingivectomie met de Gemini Evo 810 + 980-diodelaser en voor vervaardiging van de composietrestauratie.
Nog een voordeel van deze behandelmethode is dat in de meeste gevallen onmiddellijk na de chirurgie een composietopbouw kan worden aangebracht. Zo kon ik meteen beginnen met restaureren zonder tijd te verliezen. De gebitsoppervlakken werden eerst geëtst met 35% fosforzuur en daarna werd Peak™ Universal Bond aangebracht.
Voor de restauraties koos ik voor Transcend™. Deze universele composiet is geschikt voor zowel het front als de zijdelingse delen. Een vereenvoudigde aanpak, waarbij slechts één kleurtint (Universal Body) werd gebruikt, maakte de procedure veel eenvoudiger in vergelijking met ingewikkelde laagjestechnieken. Deze composiet heeft een goed uitgebalanceerde opaciteit en translucentie waardoor een opaker niet nodig is.
Na uitharding met de VALO™ X-polymerisatielamp koos ik ervoor de restauraties te polijsten met het Jiffy™-systeem. Afbeelding 6 laat het resultaat onmiddellijk na de operatie zien.


Afb. 6. Onmiddellijk na de ingreep.
Na 18 dagen kwam de patiënt terug voor polijsten en een beoordeling van de genezing van de operatiegebieden. De patiënt had na de ingreep vrijwel geen last van ontstekingen of ongemak. Zoals eerder vermeld is een belangrijk verschil met scalpels en/of elektrochirurgie dat diodelasers een biostimulerend effect hebben, wat het genezingsproces aanzienlijk versnelt. Weefsels worden op cellulair niveau geactiveerd door middel van infraroodstimulatie, wat een sneller herstel bevordert. Studies tonen aan dat de infraroodlaser zorgt voor stimulatie van cytochroom-c-oxidase (CCO), een enzym in het binnenste mitochondriale membraan dat helpt bij het benutten van energie in de ATP-synthese.
Klinisch is gemakkelijk te zien hoe dit helpt bij het beheersen van ontstekingen, wat op zijn beurt weer de wondgenezing bevordert (afb. 7). De combinatie van diodelaserchirurgie en directe composieten is een van de belangrijkste voordelen van de moderne tandheelkunde: hiermee is een snel, efficiënt behandelprotocol mogelijk dat veel comfortabeler is voor de patiënt.

Afb. 7. Close-up van genezing van de gingiva na 2,5 week.
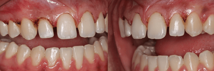
Opvallend bij deze casus was ook hoe goed de niet-invasieve restauraties opgingen in de kleurtint van de omliggende gebitselementen dankzij de geavanceerde optische eigenschappen en translucentie van Transcend-composiet (afb. 8). Het enthousiasme van de patiënt was duidelijk vanaf het moment dat ze voor het eerst in de spiegel keek. Haar glimlach zag er niet alleen mooier uit, maar ook natuurlijker en symmetrisch – bijna alsof het nooit anders was geweest.

Afb. 8. Voor en na restauratie met Transcend universele composiet, kleurtint Universal Body – situatie voor de bleekbehandeling.
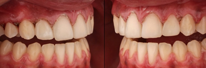
Desondanks besloten we het resultaat nog een extra boost te geven door een bleekbehandeling met 10% carbamideperoxide (Opalescence™ PF 10%). Na een uitgebreide instructie begon de patiënt thuis met een behandeling van 14 dagen met op maat gemaakte lepels die 's nachts werden gedragen. Toen de patiënt na afloop van de behandeling terugkwam in de praktijk, was het verschil voor en na duidelijk zichtbaar: de kleurtint van haar gebit was veranderd van A2,5/A3 naar een prachtige, heldere A1. De Transcend-composietrestauraties hadden zich volledig aangepast aan het bleekproces en gingen naadloos over in het nu wittere natuurlijke gebitsweefsel, zonder zichtbare randen of kleurverschillen (afb. 9).

Afb. 9. Vergelijking voor en na het bleken.
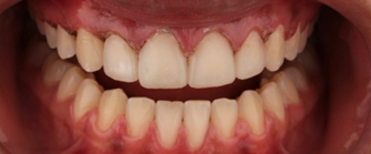
Waar approximale ruimtes en onregelmatigheden in de gingiva voorheen het uiterlijk verstoorden, heeft de patiënt nu een symmetrische, stralende glimlach. Dat betekende voor haar niet alleen een zichtbare esthetische verbetering, maar ook een aanzienlijke verbetering van haar zelfvertrouwen en levenskwaliteit - wat voor mij een van de grootste beloningen is (afb. 10).

Afb. 10. Vergelijking voor en na.
Er waren geen tekenen van recessies of complicaties en de patiënt meldde nauwelijks of geen ongemakken, ook nu weer dankzij de minimaal invasieve aanpak en de biostimulatie van het weefsel (afb. 11).

Afb. 11. Eindresultaat.
Tot slot wil ik benadrukken dat werken met een diodelaser heel eenvoudig en gebruiksvriendelijk is. Deze technologie kan heel gemakkelijk worden geïntegreerd in de dagelijkse praktijk. Werken met een diodelaser is niet alleen veilig, efficiënt en gemakkelijk te leren, maar maakt ook de hele behandeling eenvoudiger, minder pijnlijk en comfortabeler voor iedereen. Samen met een orthodontist is een resultaat bereikt dat zonder het gebruik van een laser niet zo snel en gemakkelijk mogelijk zou zijn geweest. Waarschijnlijk hadden we dan nog extra hulp moeten inroepen van een parodontoloog. Voor mij is dit precies de reden waarom een diodelaser een echte meerwaarde vormt voor elke praktijk.
Deze casus bewijst eens te meer hoe effectief en krachtig het gebruik van lasertechnologie in de tandheelkunde kan zijn in combinatie met goed geplande esthetische restauratieprotocollen. Mijn conclusie is dat een diodelaser veel meer voordelen biedt dan veel gebruikers zich realiseren. In combinatie met moderne restauratiematerialen die beter opgaan in het omliggende gebitsweefsel, vormt dit de ideale tool om in slechts enkele eenvoudige stappen een perfect evenwicht tussen functionaliteit en esthetiek te bereiken – en patiënten een harmonieuze, stralende glimlach te bezorgen.
