Door Daniel Lewis
Bij directe composietveneers kan de aansluiting bij de kleur van het natuurlijke gebit een hele uitdaging zijn. “Er zijn al verschillende restauratietechnieken voorgesteld voor laagopbouw in het front”, aldus dr. Rafael Calixto. “Eigenlijk is een goede laagopbouw, met zeer bevredigende resultaten, heel eenvoudig. Als tandarts moet je dan wel begrijpen welke concepten er ten grondslag liggen aan de translucentie van materialen en welke invloed de laagdikte heeft.”
Met deze casus demonstreert dr. Calixto een zeer effectieve techniek voor klasse II-restauraties van de centrale bovenincisieven, met behulp van het universele composietsysteem Transcend™. De patiënt presenteerde zich met bestaande composietveneers die vervangen zouden moeten worden voor een esthetischer uiterlijk. Deze casus gaat in op het gebruik van een eenvoudige laagopbouw. De nadruk ligt daarbij op het belang van de translucentie van het materiaal en de laagdikte. “Transcend-composiet is een vereenvoudigd systeem wat betreft het aantal beschikbare kleuren, maar die kleuren zorgen samen met de polijsteigenschappen voor uitstekende resultaten, als je de lagen snel en efficiënt aanbrengt”, vertelt Calixto.

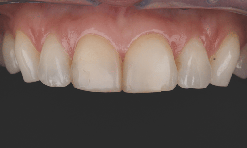
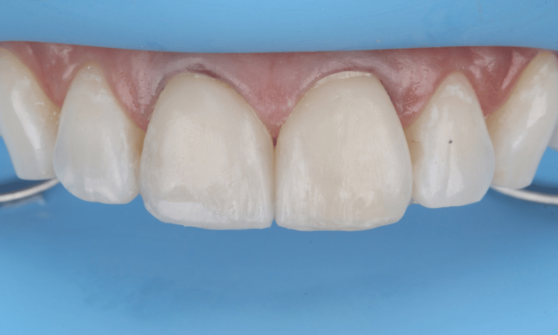
- Eerste bezoek: De centrale incisieven vertonen duidelijk vlekken en hebben hun glans verloren. Het doel is om de bestaande composietveneers te vervangen, zodat het gebit er mooier uitziet.

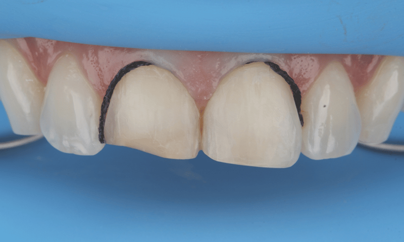
- Tissue management: Een strategisch geplaatste Ultrapak™ 000-retractiedraad zorgt voor een optimale verplaatsing van weefsel, wat van cruciaal belang is om de sulcusvloeistof te beperken tijdens de ingreep.

- Siliconensleutel na mock-up: De preparatie wordt zorgvuldig op een siliconensleutel gepast. De siliconensleutel helpt bij de volgende stappen, zodat de laagopbouw nauwkeurig verloopt.

- Etsen van glazuur: De gebitselementen worden geïsoleerd en het etsmiddel Ultra-Etch™ met 35% fosforzuur wordt aangebracht op het beslepen glazuur, gedurende 15 seconden. Deze stap is de voorbereiding voor het aanbrengen van de adhesief en zorgt voor vergroting van het oppervlak en dus voor een betere hechting.

- Bonding: Na het etsen wordt de adhesief Peak™ Universal Bond aangebracht. Het eerste linguale schildje wordt gemaakt met Transcend™-composiet in de kleur Enamel Neutral. Dit vormt de basis voor de veneer.

- Uitbalanceren van de verschillende gebitskleuren: Om de kleurverschillen tussen de gebitsweefsels aan te pakken, wordt een lichtere dentinekleur (B1D) op het donkerdere gebitselement 11 aangebracht en een donkerdere dentinekleur (A2D) op gebitselement 21. Hierdoor ontstaat een uitgebalanceerd en natuurlijk uiterlijk.

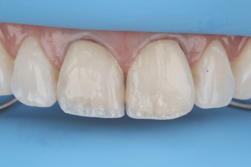
- Aanbrengen van de laatste laag (gebitselement 21): De Transcend-composiet Enamel White wordt als laatste laag aangebracht op het faciale vlak van gebitselement 21. Deze laag wordt vervolgens uitgehard met de VALO™-polymerisatielamp om de composiet te versterken.

- Aanbrengen van de laatste laag (gebitselement 11): Hetzelfde composietmateriaal (Enamel White) wordt gebruikt als laatste laag op gebitselement 11. Voor de uitharding worden de approximale contacten zorgvuldig afgewerkt.

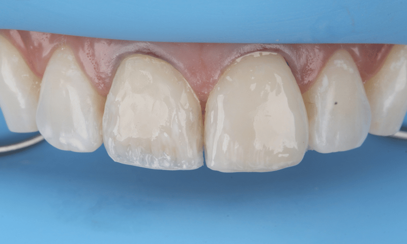
- Verwijderen van de draad en eerste polijststap: De Ultrapak-draad wordt verwijderd en de gebitselementen worden gepolijst met het middelgrote, spiraalvormige polijstschijfje van Jiffy™ Natural. Met deze stap begint het polijstproces, zodat de veneers een glad oppervlak krijgen.

- Fijn polijsten: Het verdere polijsten wordt gedaan met het fijne, spiraalvormige polijstschijfje Jiffy Natural Fine, ter verbetering van de gladheid en glans van de veneers.

- Hoogglanspolijsten: De laatste polijststap met het Jiffy™ HiShine-cupje zorgt voor een hoogglansafwerking van het cervicale buccale gebied, waardoor de gebitselementen een natuurlijke, mooie glans krijgen.

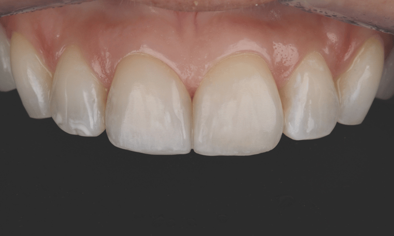
- Eindresultaat: De restauratie is klaar en de patiënt heeft nu een mooie glimlach, met behulp van veneers die naadloos passen bij de natuurlijke gebitselementen.
Met een vereenvoudigde laagopbouw en door optimaal gebruik te maken van de optische eigenschappen van de universele composiet Transcend heeft dr. Calixto een harmonisch en natuurlijk uiterlijk tot stand gebracht. Van het eerste bezoek en het tissue management tot aan de laatste polijststap heeft deze aanpak ervoor gezorgd dat de veneers passen bij de natuurlijke kleur en glans van het gebit.
Over dr. Rafael Calixto

Professor Rafael Calixto is master of science en doctor op het gebied van de restauratieve tandheelkunde. Hij studeerde aan de universiteit UNESP in São Paulo (Brazilië). Hij is de auteur van het boek Direct Composite Veneers en heeft een privépraktijk in São Paulo. Dr. Calixto is een internationale spreker, doceert de cursus voor tandheelkundige specialisatie aan de FAEPO in São Paulo en coördineert de specialisatiecursus tandheelkunde van de Braziliaanse vereniging voor tandheelkunde in Alagoas (Brazilië). Dr. Calixto geeft daarnaast de cursus gebitsherstel aan de ADA in Madrid (Spanje) en coördineert de specialisatiecursus tandheelkunde van de ECO Academy in São Paulo.
