Door Daniel Lewis
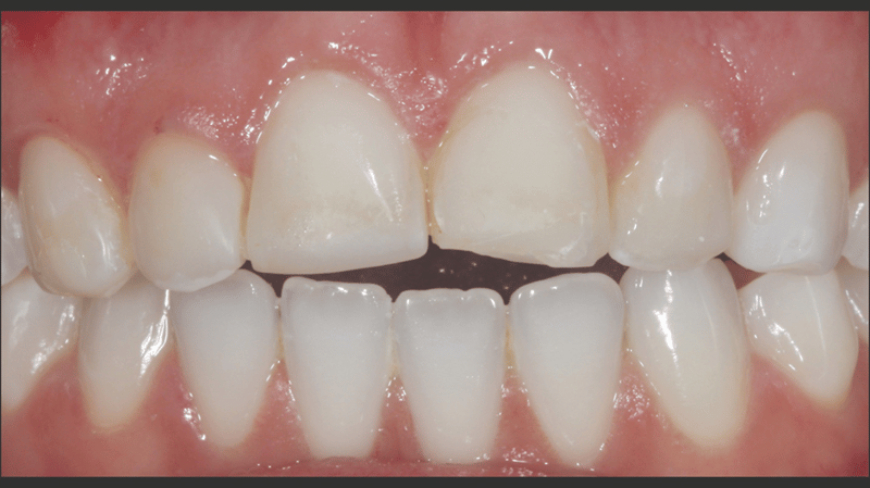
Een jonge vrouw van in de 20, die leed onder de verkleuring van haar bovengebit als gevolg van vroeger trauma, bezocht dr. Jaleena Fischer-Jessop omdat ze weer een mooie glimlach wilde. De patiënte kreeg een conserverende, betaalbare behandeling: directe adhesieve composietveneers zonder preparatie. Dr. Fischer-Jessop koos voor deze methode om de verkleuring te maskeren en de lengte van de bovenelementen aan te passen aan de frontelementen van de onderkaak, waardoor invasievere methoden, zoals implantaten of dure, indirecte veneers, niet nodig waren. De kleuren B1D en Enamel White (EW) werden geselecteerd om het gebit lichter te maken en met de Universal Body-kleur (UB) van Transcend™-composiet werd ervoor gezorgd dat de randen een natuurlijke overgang hadden naar de cervicale gebieden.
Analyse van de casus en stap-voor-stap-procedure

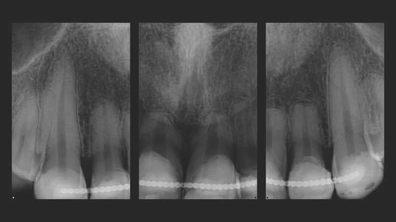
- Anamnese: Een vrouwelijke patiënt van in de 20 met een voorgeschiedenis van trauma aan de frontelementen in de bovenkaak. Ondanks het trauma bleven de gebitselementen stabiel, dus implantaten waren niet nodig.

- Esthetische en financiële afwegingen: De patiënte was niet tevreden over het uiterlijk van haar gebit en had het financieel gezien niet breed. Daarom werd gekozen voor directe adhesieve composietveneers zonder preparatie.

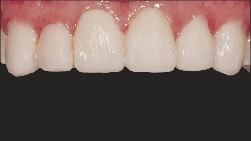
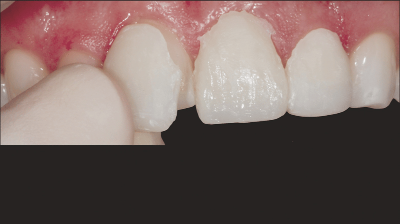
- Aanbrengen van de composiet: Transcend-composiet in de B1D-kleur werd aangebracht op 2/3 van de incisale rand, geleidelijk uitdunnend richting het gebied van de gingiva. In de buurt van het gingivale derde deel werd de Universal Body-kleur (UB) aangebracht. De restauratie werd verder afgewerkt met lagen Enamel White (EW) en een kleine hoeveelheid UB aan de gingivarand, voor een natuurlijke overgang.

- Veneerseparatie: Met een mesje #12 en een separeerzaag werden de veneers vervolgens zorgvuldig van elkaar gescheiden, voor een preciezere afwerking.

- Verwijderen van de composietveneers: De composietveneers werden verwijderd.

- Contoureren van de rand: Voor de afwerking van de randen werd een fijne, naaldvormige diamantboor gebruikt om de gewenste vorm te krijgen.

- Polijsten en prepareren voor het cementeren: De veneers werden gecontoureerd en gepolijst met de Jiffy™ Natural-polijstset en zo klaargemaakt voor het cementeren.

- Prepareren van het binnenvlak: Het binnenvlak van de veneer werd gezandstraald. Voor deze stap kan eventueel ook Ultra-Etch™-etsmiddel met 35% fosforzuur worden gebruikt.

- Adhesieflaag: Op het binnenvlak werd een laag Peak™ Universal Bond-adhesief aangebracht.

- Uitdunnen en uitharden van de adhesief: De adhesief werd uitgeblazen met lucht, vervolgens uitgehard met de VALO™ X-polymerisatielamp, gedurende 3 seconden op de Xtra Power-stand.

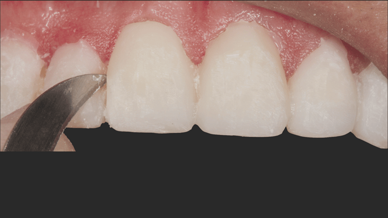
- Prepareren van de sulcus: Er werd een gebreide Ultrapak™-draad maat 0 in de sulcus aangebracht ter voorbereiding op het etsen.

- Etsen van onbeslepen glazuur: Er werd 30 seconden geëtst op het onbeslepen glazuur. Hiervoor werd Ultra-Etch met 35% fosforzuur gebruikt.

- Aanbrengen en uitblazen van adhesief: De adhesief Peak Universal Bond werd aangebracht en uitgeblazen door middel van perslucht en afzuiging.

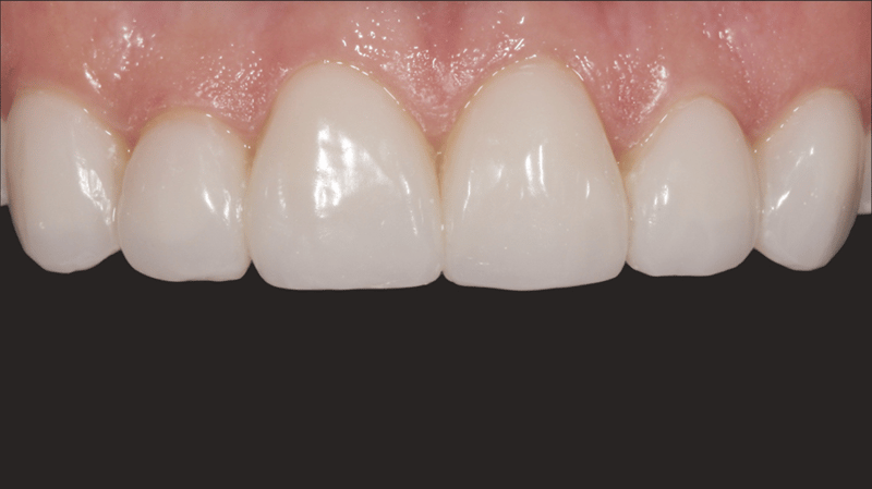
- Cementeren: De veneers werden gecementeerd met behulp van de veneercement PermaShade™ LC in de kleur Translucent (niet beschikbaar in Europa).

- Resultaat van het cementeren: De definitieve cementatie resulteerde in functionele, mooi aangebrachte veneers.

- Faciale anatomie: Voor het creëren van de faciale anatomie werd gebruikgemaakt van bolvormige en lange, dunne diamantboren. Met een gelobde diamantboor werden de lijnen van Retzius aangebracht. De eerste polijstbewerking werd gedaan met Jiffy™ Natural-polijstinstrumenten. De definitieve glans werd bereikt met Ultradent™ Diamond Polish Mint en de Jiffy™ Goat Hair Brush (niet beschikbaar in Europa), om de tertiaire anatomie niet te verwijderen.
Resultaat en beschouwing
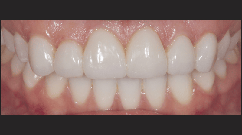
Met de ingreep konden de esthetische problemen van de patiënte met succes worden aangepakt; de verkleuring van de frontelementen in de bovenkaak is gemaskeerd en er is nu sprake van een natuurlijk, evenwichtig beeld ten opzichte van de frontelementen in de onderkaak. Het gebruik van directe adhesieve composietveneers zonder preparatie bleek een conserverende, zeer effectieve oplossing te zijn die zowel tegemoetkwam aan de lastige financiële situatie van de patiënte als aan de behoefte aan een minimaal invasieve behandeling.
Over dr. Fischer-Jessop

Dr. Jaleena Fischer-Jessop studeerde in 2002 met lof af op het vakgebied mondchirurgie aan de opleiding tandheelkunde van Loma Linda University in de Verenigde Staten. Later rondde zij een certificering van twee jaar af van de American Orthodontics Society. Dr. Fischer-Jessop maakte gedurende twee jaar deel uit van het bestuur van de vereniging voor tandheelkunde van Utah (Utah Dental Association). Momenteel is zij actief voor het adviesorgaan National Advisory Board. Zij werkt sinds 2014 als adjunct-docent aan de opleiding tandheelkunde van de universiteit van Utah. Ze keerde in 2023 terug naar de schoolbanken om haar MBA-graad te halen aan de Eccles School of Business van de universiteit van Utah. Dr. Fischer-Jessop heeft een eigen tandheelkundige praktijk, waar zij inmiddels 22 jaar werkt en de nadruk legt op esthetische en minimaal invasieve tandheelkunde. Dr. Fischer-Jessop is 31 jaar getrouwd met Neil Jessop en ze hebben twee kinderen, Kazia en Cambri Jessop.
