Een gedurfd idee met bijzondere resultaten
Gebruikersverlag van dr. Petteri Viljakainen
Voor composietrestauraties werk ik zelf het liefst met een aantal verschillende materialen en systemen. Per klinische casus kan ik dan het meest geschikte product en de meest geschikte techniek kiezen. Naast de bekende composietsystemen met meerdere kleuren en de laagjestechniek behaal ik al een tijdje zeer goede klinische resultaten met een eenvoudigere aanpak en composietmaterialen in één kleur.
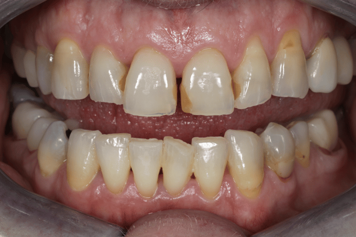
Een 66-jarige vrouwelijke patiënt meldde zich in mijn praktijk met vijf restauraties die vervangen moesten worden vanwege ouderdom en vlekken. Ik wilde graag zien wat voor resultaten ik kon bereiken met een nieuw éénkleurig composietmateriaal in het front.

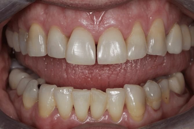
Voor
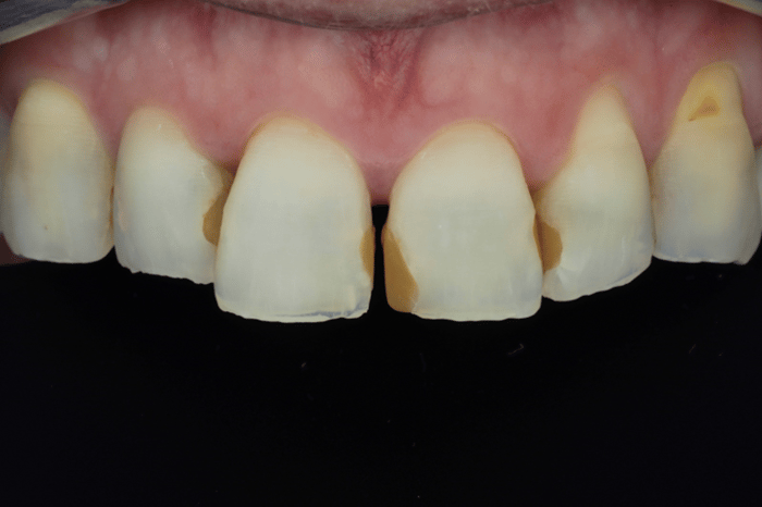
Om te beginnen voerden we een professionele gebitsreiniging uit. Daarnaast verving ik vijf klasse IV- en klasse V-restauraties in de elementen 12 tot en met 23. Ik koos voor de universele composiet Transcend™ (Ultradent Products), omdat ik met deze composiet maar één kleur hoef te gebruiken, Universal Body genaamd. Er is zelfs niet eens een opaker nodig.
Ik realiseerde me zeker wel dat het best een gewaagd idee is om slechts één kleur te gebruiken voor esthetische restauraties in het front. Van composiet verwachten we immers dat het naadloos overgaat in elke elementkleur. Als het niet goed zou uitpakken, zou ik de hele behandeling opnieuw moeten doen. Ondanks mijn twijfels besloot ik door te zetten. Ik was aangenaam verrast door het resultaat.



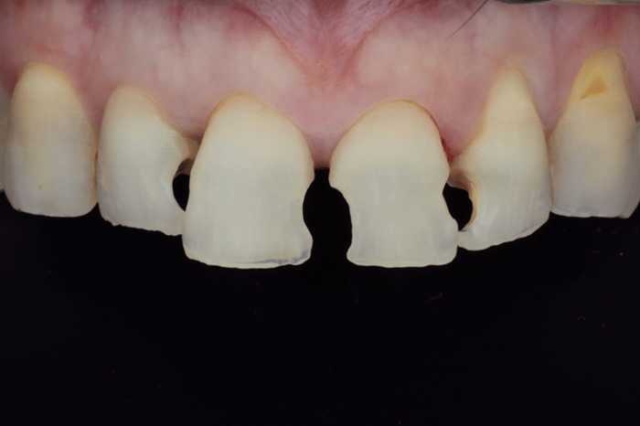
Vervangen van oude restauraties
(afbeeldingen gemaakt met polarisatiefilter)
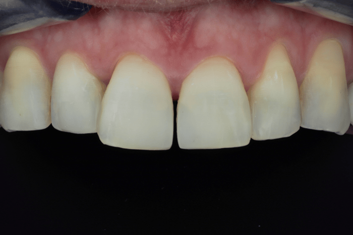
Transcend Universal Body past zich perfect aan het natuurlijke gebit aan
De kleur Universal Body van Transcend-composiet paste zich perfect aan de omringende kleur van de elementen aan en mijn patiënt was meer dan tevreden met haar mooie, nieuwe uiterlijk. Het verschil tussen de restauratie en het natuurlijke gebitselement is vrijwel niet te zien. Daarnaast biedt Transcend-composiet een uitstekende balans tussen opaciteit en translucentie, dankzij de specifieke Resin Particle Match™-technologie.


De resultaten
Transcend-composiet levert niet alleen prachtige resultaten, het is ook heel gemakkelijk te hanteren en vorm te geven. Ik verwarm composietmaterialen altijd graag voordat ik ze gebruik voor frontrestauraties. Sommige worden dan wat vloeibaarder en andere blijven stijver. Transcend-composiet reageerde erg goed op verwarming, waardoor het nog prettiger te hanteren was. Het vereenvoudigde behandelprotocol zonder het tijdrovende opbouwen van laagjes draagt positief bij aan gestroomlijnd en efficiënt werken in de praktijk. Bovendien heeft Transcend-composiet een hoge kleur- en krimpstabiliteit en hoeft het slechts minimaal gepolijst te worden.
Vanuit economisch oogpunt is Transcend-composiet ook interessant, omdat ik geen breed assortiment aan verschillende composietkleuren op voorraad hoef te houden. Ik kan mijn voorraad aanzienlijk verkleinen, wat het hele organisatie- en bestelproces voor mij en mijn team vergemakkelijkt. Composietmateriaal heeft zijn prijs en het is altijd pijnlijk als je capsules of spuiten moet weggooien die nauwelijks zijn gebruikt, maar bij het afval moeten omdat de houdbaarheidsdatum is verstreken. Transcend-composiet helpt me dus om verspilling van materiaal en geld te voorkomen.
Transcend-composiet is in veel opzichten zijn tijd vooruit. Omdat het perfect harmonieert met gebitselementen in het front is het ook geschikt voor restauraties in de zijdelingse delen. Ik heb zelfs diastemen tot 2 mm gesloten met de kleur Universal Body van Transcend en ik moet zeggen, het werkte perfect. Voor mij is Transcend een innovatief, toekomstbestendig product dat ik in mijn praktijk zal blijven gebruiken. Ik raad andere tandartsen van harte aan om het zelf te proberen en te zien hoe het werkt.
Over de gebruiker:

Tandarts Petteri Viljakainen
-
- Afgestudeerd aan de universiteit van Helsinki, Finland in 2009
- Tandarts en partner bij de eSmile-praktijken in Espoo en Helsinki, Finland
- specialisatie cosmetische tandheelkunde - Focus en speciale interesses:
- cosmetische en esthetische tandheelkunde, met regelmatige deelname aan lezingen en seminars over de hele wereld - Lidmaatschappen:
- geaccrediteerd lid van de American Academy of Cosmetic Dentistry (AACD)
- geaccrediteerd lid van de British Academy of Cosmetic Dentistry (BACD)
- geaccrediteerd lid van de IAS Academy - Andere activiteiten:
- belangrijke opinieleider (KOL) voor toonaangevende tandheelkundige fabrikanten
- internationaal spreker en praktijktrainer op het gebied van materialen, technieken en dentale fotografie
